Hypodontie: Ursachen und Behandlungsmöglichkeiten

In der Regel besteht ein vollständig bleibendes Gebiss eines Menschen aus 32 Zähnen. Sobald ein Zahn oder mehrere Zähne nicht angelegt sind, spricht man von Hypodontie. Erfahren Sie in diesem Blogartikel alles über die Ursachen und die Behandlungsmöglichkeiten bei einer Zahnunterzahl.

Übersicht:

Was ist Hypodontie?

Was sind die Ursachen einer Hypodontie?

Wie wird Hypodontie festgestellt?

Welche Folgen kann die Hypodontie haben?

Wie sieht die Behandlung von nichtangelegten Zähnen aus?

FAQ


Was ist Hypodontie?

Unter Hypodontie versteht man die Nichtanlage von Zähnen. Das heißt, dass ein Zahn oder mehrere Zähne im Kiefer fehlen. Dieses Phänomen ist nicht ungewöhnlich und betrifft etwa 6 % der Bevölkerung, Frauen häufiger als Männer. Auch wenn im Milchgebiss noch alle Zähne vorhanden sind, können im bleibenden Gebiss Zähne fehlen.

In der Medizin wird zwischen einer echten und einer unechten Hypodontie unterschieden. Eine echte Hypodontie liegt bei den Betroffenen vor, wenn die Nichtanlage von Zähnen erblich bedingt ist und die Zähne von Geburt an fehlen. Bei einer unechten Hypodontie sind die Zähne im Kiefer angelegt, allerdings brechen sie nicht durch.


Was sind die Ursachen einer Hypodontie?

Eine Nichtanlage von Zähnen kann verschiedene Ursachen haben. Man muss unterscheiden, zwischen Zähne, die von vornherein nicht angelegt sind und Zähne, die nicht durchbrechen oder deren Keime verkümmert sind.

Eine echte Hypodontie ist in der Regel genetisch bedingt. In der Regel sind auch genetische Ursachen für eine Nichtanlage von Zähnen bei Kindern verantwortlich. In diesem Fall beobachtet man eine Häufung in der Familie.

Ursachen für eine unechte Hypodontie können Zahnfehlstellungen, Zahnentzündungen oder ein verkrümmter Zahnkeim sein. Aber auch ein Zahnunfall oder die Einwirkung von Umwelteinflüssen können zu einer Nichtanlage von Zähnen führen.


Wie wird Hypodontie festgestellt?

Ein Milchgebiss, das ungewöhnlich lange erhalten bleibt, ist oft der erste Hinweis auf eine Hypodentie. Wenn einzelne Milchzähne im Kindermund also für einen ausgedehnten Zeitraum nicht ausfallen, oder wenn der Zahnverlust auf den beiden Kieferhälften zeitlich versetzt stattfindet, kann dies ein Grund für weiterführende Untersuchungen sein. Zwischen dem 6. Und 14. Lebensjahr werden somit die meisten Nichtanlagen im Kiefer entdeckt. Es wird auch abgeklärt, ob es in der Familie des Patienten bzw. der Patientin schon Fälle von Hypodontie gab.

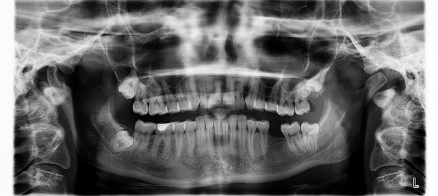
Um mehr über den fehlenden Zahn – oder manchmal auch mehrere – zu erfahren, erstellt der Zahnarzt zuerst eine Röntgenaufnahme, auf der mögliche Nichtanlagen zu sehen sind. Danach können weitere Diagnosen festgestellt werden. Zum Beispiel die Enge des Zahnlückenraums oder bereits begonnene Verschiebungen der benachbarten Zähne.

Hypodontie lässt sich am Röntgenbild erkennen.

Welche Folgen kann die Hypodontie haben?

Wenn durch fehlende Zähne eine Lücke zwischen den Zähnen entsteht, löst das bei vielen Patient:innen Unwohlsein beim Sprechen oder Lächeln aus. Besonders im Frontzahnbereich werden Zahnlücken als störend empfunden. Dadurch kann das Sprachvermögen beeinträchtigt sein und es kann zu Lispeln kommen.

Fehlt ein Zahn im Seitenbereich, ist die Kaufunktion nicht mehr vollständig intakt. Die Zähne, die sich direkt neben der Lücke befinden, verlieren an Halt. Es kann vorkommen, dass die Nachbarzähne in die Lücke „hineinkippen“. Bissstörungen oder ungünstige Belastungen des Kiefers können weitere Folgen von Hypodontie sein.


Wie sieht die Behandlung von nichtangelegten Zähnen aus?

Eine Lücke bei nichtangelegten Zähnen kann entweder geschlossen oder offengelassen werden. Mithilfe kieferorthopädischer Behandlungen kann die Lücke für eine (spätere) prothetische Versorgung offengehalten werden. Sind die Nachbarzähne bereits in Richtung der Lücke gekippt, kann mit kieferorthopädischen Therapien die Lücke auch wieder vergrößert werden.

In der Regel ist ein Implantat die bevorzugte Langzeitlösung für prothetische Behandlungen. Bei jungen Patienten wird bis zum idealen Zeitpunkt für ein Implantat, also nach Abschluss des Wachstums, häufig eine Adhäsivbrücke (Maryland-Brücke) im Bereich der Frontzähne verwendet. Wenn Zähne im Seitenzahnbereich fehlen, werden ebenso Implantate zur Zahnrekonstruktion genutzt. In seltenen Fällen wird eine Brücke oder eine herausnehmbare Prothese in Betracht gezogen.

Die Zahnlücke kann aber auch mit herausnehmbaren oder festsitzenden Zahnspangen geschlossen werden. Die Behandlungen werden individuell auf die Patienten angepasst.


FAQ zu Hypodontie

Hypodontie bezeichnet das Fehlen einiger Zähne, während Anodontie das Fehlen aller Zähne bezeichnet.

Da Hypodontie oft genetisch bedingt ist, kann sie nicht immer verhindert werden. Allerdings kann eine gute Mundhygiene helfen, die Gesundheit der verbleibenden Zähne zu erhalten.

Ob Zahnimplantate eine geeignete Behandlungsoption sind, hängt von mehreren Faktoren ab. Dazu gehören der Gesundheitszustand des Patienten, der Zustand des Kieferknochens und individuelle Präferenzen.

Hypodontie kann das Essen und Sprechen erschweren und das Selbstbewusstsein mindern. Sie kann auch zu anderen Mundgesundheitsproblemen führen, wenn sie nicht richtig behandelt wird.

Hypodontie ist keine Seltenheit und betrifft ca. 6% der Bevölkerung.


Offene Fragen zum Thema Hypodontie?

Gerne berät Sie das Praxisteam der Zahnvilla Wassenberg auch vor Ort zum Thema Hypodontie. Kontaktieren Sie uns – wir freuen uns auf Ihren Besuch!